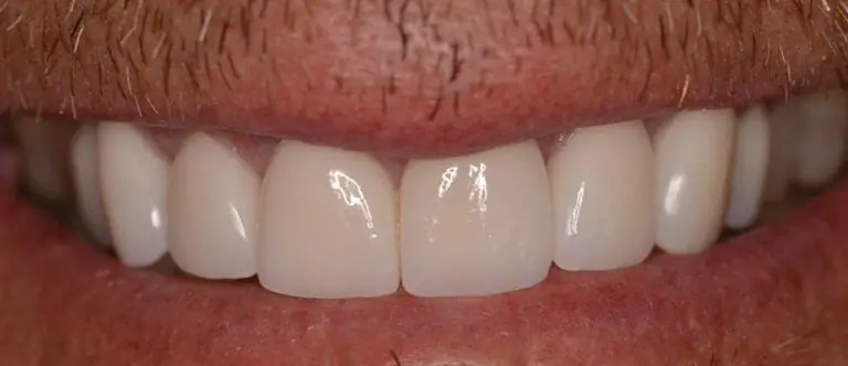
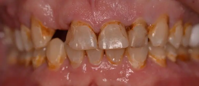
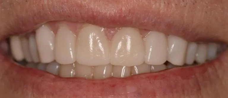
Before and Afters

What Our Patients Say

Stacy M.

I love the team of people who work at this practice! They are patient, kind, and genuinely care about getting to know you. Dr. Gradeless always takes the time to discuss possible treatment plans and never makes you feel rushed.

Kim R.

I highly recommend Dr Gradeless! He’s been my dentist for over 30 years! My kids and my parents also go to him. He is a wonderful dentist and is very personable! The entire office is amazing!! They make you feel like family.

Linda R.

Dr. Gradeless is over the top amazing. He is the most caring dentist I have ever been too. All I can say is he is a one in million dentist who genuinely cares about each and every person. I am truly blessed to have found him many years ago.

For questions, appointments, or emergencies, you can call us Monday through Thursday at:

317-841-3130